多学科协作攻坚克难
巨大肝癌伴高危癌栓转化治疗成功实施
日前,山东第一医科大学附属省立医院(奥体院区)胆胰外科在多学科诊疗(MDT)模式的有力支撑下,成功完成一例高风险、高难度、合并下腔静脉癌栓(癌栓几近右心房)的巨大肝癌转化治疗并实现根治性切除。这标志着科室在复杂肝脏肿瘤,尤其是初始不可切除晚期肝癌的综合诊疗领域取得了重大突破。

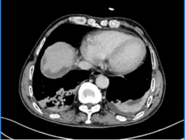
▲术前影像显示巨大右肝肿瘤及下腔静脉癌栓(接近右心房水平)
患者为67岁男性,体检发现肝脏一个直径达14.3厘米的巨大肝癌,肿瘤不仅包绕了关键的第二肝门结构,同时侵入下腔静脉形成广泛癌栓,且癌栓向上延伸至极高危位置——接近右心房入口。这一复杂的病情使肿瘤被判定为初始不可切除,手术面临难以逾越的技术挑战和极高的致命风险(如术中大出血、癌栓脱落导致肺栓塞或肿瘤广泛播散等)。
面对这一严峻挑战,胆胰外科周旭主任高度重视,并迅速组织了包括肿瘤科、影像科、感染性疾病科(肝病科)、消化内科等在内的MDT团队进行深入讨论。基于肿瘤生物学特性及患者全身状况,团队为患者精准制定了个体化的转化治疗方案:采用肝动脉灌注化疗(HAIC)联合靶向药物及免疫检查点抑制剂的三联疗法,旨在最大程度地杀伤肿瘤细胞、促使肿瘤显著缩小并使高危癌栓有效退缩,为根治性手术创造机会。
经过6周期的精心治疗,转化效果令人鼓舞:肿瘤直径由14.3cm缩小至9.0×7.4cm,更为关键的是,原本延伸至近心房的极高危癌栓成功向下退缩至第二肝门水平下腔静脉主干。影像学评估确认转化治疗目标达成,患者迎来了宝贵的手术根治机会。为确保手术安全可行,科室再次启动MDT机制,联合麻醉科、血管外科、心外科、重症医学科、肿瘤科、感染性疾病科、消化内科进行多学科会诊。专家们对转化效果、患者耐受性及手术预案进行了全面、严格的再评估。综合研判认为,肿瘤降期效果显著,癌栓位置已相对安全可控,患者全身状态可耐受重大手术,具备明确的手术指征且无绝对禁忌症。最终决策实施右半肝切除联合下腔静脉切开取栓术。
尽管赢得了手术机会,但这场手术仍是与“死神”的搏斗,风险极高。核心难点在于精准游离被巨大肿瘤侵犯和粘连的第二肝门区复杂结构,并需暂时阻断下腔静脉进行切开取栓。此过程极易引发灾难性的血流动力学崩溃,包括血压骤升骤降和致命的癌栓脱落肺栓塞风险。

▲术中完整切除的肿瘤标本及取出的下腔静脉癌栓
面对挑战,精锐团队紧密协作:手术在周旭主任的指导下,由朱化强主任医师主刀,杨发基、郝以杰、王新三位主治医师密切配合。团队凭借精湛的解剖技巧和丰富的经验,小心翼翼地分离肿瘤与周围重要血管、脏器的致密粘连,特别是被肿瘤包绕的第二肝门区域。在惊心动魄的3小时里,团队如同进行一场毫米级的“拆弹行动”,成功完整切除了巨大的右半肝肿瘤,并精细切开下腔静脉,将癌栓完整、彻底地取出,随后对下腔静脉壁进行了精准可靠的修补。
手术的成功离不开多学科团队的“无缝护航”。术前,麻醉科谷长平副主任团队制定了详尽的循环管理预案。术中,麻醉医生李旺、孔如意严密监测心排血量、血氧饱和度、中心静脉压等关键指标,尤其在阻断和开放下腔静脉的关键时刻,凭借精准的药物调控和液体管理,成功化解了血压的剧烈波动,为手术创造了平稳的“内环境”。血管外科专家全程待命,随时准备应对可能的突发血管事件。重症医学科团队则为术后监护做好了充分准备。

▲术后复查影像显示下腔静脉血流通畅、充盈良好
在多学科团队的紧密协作下,这台高风险、高难度手术最终取得圆满成功。患者术后转入ICU接受精心监护,生命体征平稳,顺利渡过了手术危险期。术后第4天增强CT检查显示下腔静脉管腔通畅、血流充盈良好,无狭窄及血栓形成。最终的病理学检查报告证实:肿瘤及癌栓均被完整切除,手术切缘阴性(R0切除),达到了根治性效果。令人欣喜的是,患者术后恢复顺利,术后第9天即康复出院。


▲研究成果以壁报形式在2024年新加坡举行的ESMO-Asia国际会议上展示
本案例的完美收官,充分彰显了山东第一医科大学附属省立医院(奥体院区)胆胰外科在复杂肝胆胰肿瘤诊治领域,尤其是在运用MDT模式攻克疑难危重病例方面所具备的强大综合实力、深厚技术积累和高效协作能力。奥体院区胆胰外科2024年9月更名,继承于原东院肝胆外科,在周旭主任的带领下,重点打造胆胰疾病特色诊疗的同时,依托山东第一医科大学附属省立医院雄厚的平台支撑和成熟的MDT体系,持续聚焦肝脏肿瘤,特别是在不可切除的肝癌转化治疗方面做了大量临床研究工作,牵头发起的《卡瑞利珠单抗+阿帕替尼联合HAIC用于初始不可切除原发性肝细胞癌转化治疗的临床研究》取得突破性进展,研究成果以壁报形式在2024年新加坡举行的ESMO-Asia国际会议上展示,不仅为晚期肝癌患者带来了根治的希望,也为同行专家处理同类复杂高危病例提供了可借鉴的宝贵“省立经验”和成功范式。
通讯员:王新 朱化强
晁玉萍 鞠鹏豪 报道
扫一扫 关注我们
山东天使健康救助联盟
山东省扶贫开发基金会 • 天使健康专项基金